1.インプラント治療とは?

インプラント治療とは01.jpg

インプラント治療は、歯がなくなった個所のあごの骨に人工の歯根(インプラント)を
埋め込み、その上に人工の歯をかぶせる治療法です。

人工歯根があごの骨にきちんとつくのを待ってから型を取り、固定式の歯を入れます。

取りはずしの入れ歯と違って、違和感もなくよく噛めますが、手術後、

歯が入るまで約3~6カ月の治癒期間が必要です。

インプラント治療とは02.jpg

インプラントは生体との親和性が高いチタンという金属で造られています。

チタンは長年の基礎的、臨床的研究からインプラントの材料として

最も安全であり、また顎の骨と結合することが確認されています。

インプラントと顎の骨がしっかりと結合すれば、その上には丈夫で安定した歯を

作る事ができます。

インプラント治療とは03.jpg

「かむ力が自分の歯と同じようになる」

あごの骨にしっかりと固定されるインプラント治療ならば、

固いものを我慢していた総入れ歯の人でさえもボリボリと

たくあんを噛み、りんごにかぶりつくことが可能になります。

また、見た目も自分の歯のように自然にできるので、

人前でも口元が気になりません。

インプラント治療で日常の楽しさを取り戻してみませんか?

2.インプラント治療の流れ

インプラント治療の流れ01.jpg

1. 診断・術前計画

 口腔内写真、レントゲンなどによる十分な診断を行い、

 診断書を作成して説明を受けます。

 後日、見積書で費用・治療期間を十分理解していただきます。

インプラント治療の流れ.jpg

2. インプラント植立の手術

 歯が抜けたところへインプラントを埋入した後、

 あごの骨にしっかりと固定するまで数ヶ月待ちます。

インプラント治療の流れ03.jpg

3. 人工歯の取り付け

 インプラントによるしっかりした土台ができたら、

 人工の歯を上にかぶせます。

◇メインテナンス

インプラント治療後は、アフターケアとして正しいブラッシングを行うとともに、

インプラントが長く保つように定期的にメンテナンスを受けてください。

「当院のメインテナンスのご案内ページ」へ

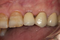
症例【前歯1歯欠損に対しインプラントを行なった症例】

インプラント治療により、入れ歯から解放されたたけでなく、見た目も改善されました。

(術前)
症例1-01.jpg
症例1-02.jpg
(術後)
症例1-03.jpg

人前でしゃべる仕事だから

“自然な感じで治したい”

という希望にて来院。

1次手術から3ヶ月後、

土台をセットしたところ。

1次手術から4ヵ月後、

最終的な冠をセットした

ところ。

3.なぜインプラントが良いのか?

◇インプラントは、なぜ良いのか?

歯を失ってしまった場合、次の治療法があります。

入れ歯 ブリッジ インプラント

歯のない部分を入れ歯で治すものです。入れ歯の安定性を得るために、ばねを反対側まで伸ばす必要があります。ばねの掛けられた歯は揺さぶられるような動きを受けるため大きな負担となります。ばねが掛かるため、見た目も悪く、比較的軟らかい食べ物しか噛めなくなります。

歯のない部分をブリッジで治すものです。ブリッジは前後にある健康な歯を大きく削る必要があり、土台となる歯には大きな負担が掛かり、結果的に土台となっている歯の寿命を短くします。また、ブリッジが駄目になる時には多くの歯を一気に失ってしまう危険性があります。

歯のない部分をインプラントで治すものです。インプラントは歯のない部分だけを治し、他の歯には負担を掛けません。入れ歯やブリッジで治す時のデメリットを克服するものです。見た目も自然で、天然歯に近い力で噛めるため、比較的硬い物を食べても問題なく噛むことができます。 

インプラント比較01入れ歯.png
インプラント比較02ブリッジ.png
インプラント比較03.png

入れ歯やブリッジは、失ってしまった場所以外にある健康な歯にバネをかけたり、

削ったりしなければなりませんが、インプラントは歯を失った場所だけで治療が

できるので、他の健康な歯に無駄な負担をかけません。

◇インプラントは噛む力が違う

下の表は、入れ歯、ブリッジ、インプラントにした場合の咬合力の比較です。

天然歯を100%とした場合、インプラントでは約90%の咬合力が得られるので、

他の治療法に比べると、よく咬めることがわかります。

咬合力比較図オリジナル.jpg

4.残った歯を守るために(1)

「自分の歯をこれ以上失わないために」

これが当医院でインプラントを使用する一番の目的です。

インプラントを埋入する上でのコンセプトです。

例えば、下の一番奥の歯をむし歯などで保存が不可能になり抜いたとします。

奥の歯が1本なくなっても大きな不自由もないのでそのまま放置したとしましょう。

すると、気づかないうちに、その歯と咬んでいた上の奥歯は咬み合わせがなくなり、

下に伸びてきます。

また、失った1本手前の歯は失った歯の分も働かなくてはいけなくなり、負担が

大きくかかります。

このように1本の歯が失うと実は少しずつ周りの歯に影響が出てきます。

それでもそのままにしておくと、あごが痛くなったり、反対側の歯にも影響が出てきます。

このようなときに、1本インプラントを入れる事で周りの歯を守ることができます。

インプラントは、ご自分の残りの歯を守るために最も有効な手段になる場合があります。

この患者様は、左下一番奥のダミーが折れた為に来院されました。

このくらい一番奥にはすごい力がかかっているのです。

このままにしておけば、手前の歯更には残っている歯に影響してくることをお話し、

それを防止する目的でインプラントすることに同意いただけましたので

インプラントを入れることになりました。

(術前)
インプラント治療の目的(術前).jpg
(術後)
インプラント治療の目的(術後).jpg

ご自分の歯をこれ以上失わないために、インプラントも検討してみてはいかがでしょうか?

4.残った歯を守るために(2)

「やむを得ず抜歯になった場合は・・・?」
インプラント治療の目的(リスク).jpg

そのままにしておくと歯並びがずれて見かけが悪くなるだけでなく、

全身に影響を出します。

 噛む力も半減して、歯があった時と同じ物を同じように噛もうとすると、

残っている歯や歯根に大きな負担を与えてしまいます。

その結果、徐々にではありますが、残された歯や歯茎に虫歯や歯周病、

歯牙破切を起してしまい、だめにしてしまうのです。

ブリッジ治療はブリッジを入れることで一時的に歯の頭数は揃うので、

歯根が全部揃っている時と同じように噛めるかもしれませんが、

歯根の数が増える訳ではありません。

残りの歯に負担がかかり、いずれ支障が出てきます。

入れ歯は噛む力が10〜30%程度しか回復できないといわれています。

ばねがかかっている歯が虫歯や歯周病が進行しやすいので、注意が必要です。

欠損が少ない場合は、入れ歯がない方が食べやすいので、

普段は入れ歯をしておいて、食べるときは入れ歯を外すという

矛盾した状況もおこりえます。

ブリッジや部分入れ歯は、支えになっている歯に負担が大きいので、

その歯をまた失ってしまう可能性が高いのです。

インプラントは歯のない部分だけを治し、他の歯には負担を掛けません。

入れ歯やブリッジで治す時のデメリットを克服するものです。

天然歯に近い力で噛めるため、残された歯に負担をかけずに噛む事ができます

インプラント治療とは、

歯を失ったときに、単に歯を補って噛めるようにするだけの治療ではなく、

残された歯を守るための最善の治療方法なのです。

お問合せ・ご相談

平日・土曜
【午前】
受付時間 9:00~12:00
診療時間 9:00~12:30

【午後】
受付時間 14:00~17:30
診療時間 14:00~18:00

休診日:木曜・日曜・祝日

佐賀県鳥栖市にある野口歯科医院がお届けする佐賀(鳥栖)【インプラント歯周病】専門サイトです。
インプラントや歯周病治療、予防や口臭治療等の専門的かつ最新情報などをお届けします。
インプラントや歯周病治療に関心のある方は、ぜひ気軽にご相談下さい。

パソコン|モバイル
ページトップに戻る